Unser Herz
"Das Herz der Lebewesen ist der Grundstock ihres Lebens, der Fürst ihrer aller, der kleinen Welt Sonne, von der alles Leben abhängt, alle Frische und Kraft ausstrahlt“, so William Harvey in seiner Schrift „Die Bewegung des Herzens und des Blutes“ aus dem Jahr 1628. Der englische Arzt und Anatom Harvey beschrieb erstmals den Kreislauf vom Blut im Körper. Verantwortlich dafür ist der Muskel, der niemals ruht: Unser Herz.
Im Durchschnitt ist es nur 15 cm groß 300 Gramm schwer und sichert doch die Versorgung aller Organe mit Blut, von dem es – bei großer Anstrengung bis zu 25 Liter pro Minute durch unseren Körper pumpt. Zweifellos eine Hochleistungsmaschine, von deren Gesundheit unser Leben abhängt, wortwörtlich. Ihrem Erhalt gilt unsere Arbeit, in die wir unser Wissen und unsere Erfahrung einfließen lassen. Dabei nutzen wir innovative Technik und Methoden.
Digitale Subtraktionsangiographie (DSA)
Um Blutgefäße mit Stents oder sehr viel Kalk dreidimensional im CT zu untersuchen, wird eine besondere Form der Angiographie mit Kontrastmittel angewandt: die digitale Subtraktionsangiographie (DSA). Ihr Vorteil gegenüber der konventionellen Angiographie besteht darin, dass durch die Subtraktion störende Elemente wie Stents oder starke Verkalkungen aus dem CT-Bild herausgerechnet werden. Hierzu wird zunächst ein CT-Volumendatensatz des Herzens ohne Kontrastmittel angefertigt.
Nach der Injektion von Kontrastmittel erfolgt ein weiterer CT-Scan des Herzens. Der Computer generiert auf Basis beider Aufnahmen danach ein DSA-Bild. Der Effekt: Beim DSA-Bild sind nur die kontrastmittelgefüllten Blutgefäße zu sehen, alle anderen Strukturen sind weitestgehend ausgeblendet. Somit können wir Verengungen auch unter schwierigsten Bedingungen wie im Herzkatheter sehr gut erkennen, exakt ausgemessen und adäquat reagieren.
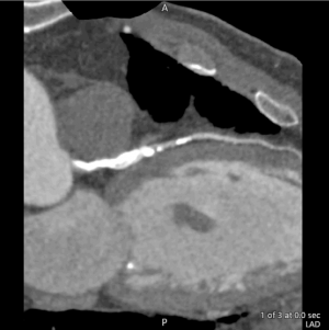
70-jähriger Patient mit Pavk, KHK 3-GE und 5-fach DES (3xRCA, 1xRIVA, 1xRCX)
RIVA CT-Angiografie ohne Subtraktion:

Mit Subtraktion Kalk/Stent:

Fat attenuation index (FAI)
Moderne medizintechnische Systeme wie unser ultra low-dose, High-End CT liefern nicht nur hochauflösende Bilder, welche die Grundlage für eine präzise Diagnostik sind. Sie können auch millimetergenau die Umgebung der Koronararterien (Herzkranzgefäße) scannen. Das bringt einen Vorteil im Bereich der Früherkennung, der erst jüngst entdeckt wurde.
Forscher der Universität Oxford fanden heraus, dass die Entzündungsreaktionen in den Blutgefäßen auch Auswirkungen auf das umgebende Fettgewebe haben: Fettzellen werden kleiner und verdichten sich. In der Computertomographie kann dies sichtbar und mit dem sog. „Fat Attenuation Index=FAI“ (Science 2017) messbar gemacht werden.
Ereignisse wie Herzinfarkt oder plötzlicher Herztod sind fast immer mit einer vorausgehenden Entzündung der Herzkranzgefäße verbunden. Damit ist der FAI derzeit der genauste Indikator für zukünftige tödliche Herzinfarkte (Lancet 2018) und übertrifft sogar den Kalkscore oder die Herz-CT-Angiografie in der Aussagekraft. Ein erhöhter FAI lässt sich natürlich auch therapieren, wie z.B. durch gesünderen Lebenswandel oder durch Einnahme bestimmter Medikamente. Neueste Forschungsergebnisse hat nun auch die American Heart Association aufgegriffen. Lesen Sie hier mehr dazu.
Die Parcside Kardiologie bietet diese innovative Methode ihren Patienten in Kooperation mit der Firma Caristo Diagnostics Ltd., einer Ausgründung der Universität Oxford, an. In England wurde die Methode bereits in die Versorgung an ersten staatlichen Krankenhäusern aufgenommen.


Fraktionelle Flussreserve aus CTA-Daten (FFR-CT)
Die koronare Computertomographie-Angiographie (CTA) ansich besitzt bereits einen hohen Stellenwert in der Primärdiagnostik der koronaren Herzkrankheit (KHK). Allerdings war es bisher nicht möglich, die im CT entdeckten Stenosen im Hinblick auf ihre funktionellen Auswirkungen zu beurteilen. Durch den Einsatz von "machine learning"-Methoden kann anhand der CT-Daten nun auch der Durchfluss, die sog. fraktionelle Flussreserve („fractional flow reserve“, FFR) eingeschätzt werden. Dieser Parameter wird seit Längerem durch invasive kathedergestützte Untersuchungen bestimmt. Die Parcside Kardiologie nutzt die neue nicht-invasive Alternative und bietet im Nachgang zur CTA eine ergänzende Auswertung der FFR an.
Hausärzte oder Kardiologen mit einem weitergehenden Interesse am FFR-CT finden hier einen frei zugänglichen Überblicksartikel von Gutberlet, Krieghoff & Gohmann (2020).
